Brain Atrophy: When the Mind Shrinks — Causes, Risks, and Hope for Treatment
Credits: SOCIAL MEDIA

Brain Atrophy: When the Mind Shrinks — Causes, Risks, and Hope for Treatment

Brain atrophy, often referred to in some regions as "brain shrinkage" or colloquially as "drying of the brain," is a medical condition characterized by the progressive loss of neurons and the connections between them. This condition can affect specific brain regions or the entire brain, leading to cognitive, motor, and neurological impairments.

According to the Mayo Clinic and the National Institute of Neurological Disorders and Stroke (NINDS), brain atrophy is commonly seen in aging individuals but may also result from various neurological diseases, infections, trauma, or genetic disorders.

Causes of Brain Atrophy:

Several factors contribute to brain atrophy, including:

Neurodegenerative Diseases: Alzheimer's disease, Parkinson's disease, and other forms of dementia are primary causes. These conditions progressively damage brain tissue, leading to shrinkage.

Stroke: A stroke interrupts blood flow to parts of the brain, causing tissue death and subsequent atrophy.

Traumatic Brain Injuries: Severe head injuries can damage brain cells and lead to long-term shrinkage.

Infections: Conditions like encephalitis, meningitis, or untreated syphilis can harm brain tissue.

Autoimmune Diseases: Multiple sclerosis (MS) leads to inflammation and damage to the brain and spinal cord, often resulting in atrophy.

Chronic Alcoholism and Substance Abuse: These factors are known to accelerate brain tissue loss.

Symptoms:

The symptoms of brain atrophy vary based on the affected brain region. Common signs include:

Memory loss and difficulty concentrating

Changes in behavior and personality

Impaired speech or understanding

Movement and coordination difficulties

Seizures, especially if the atrophy is severe

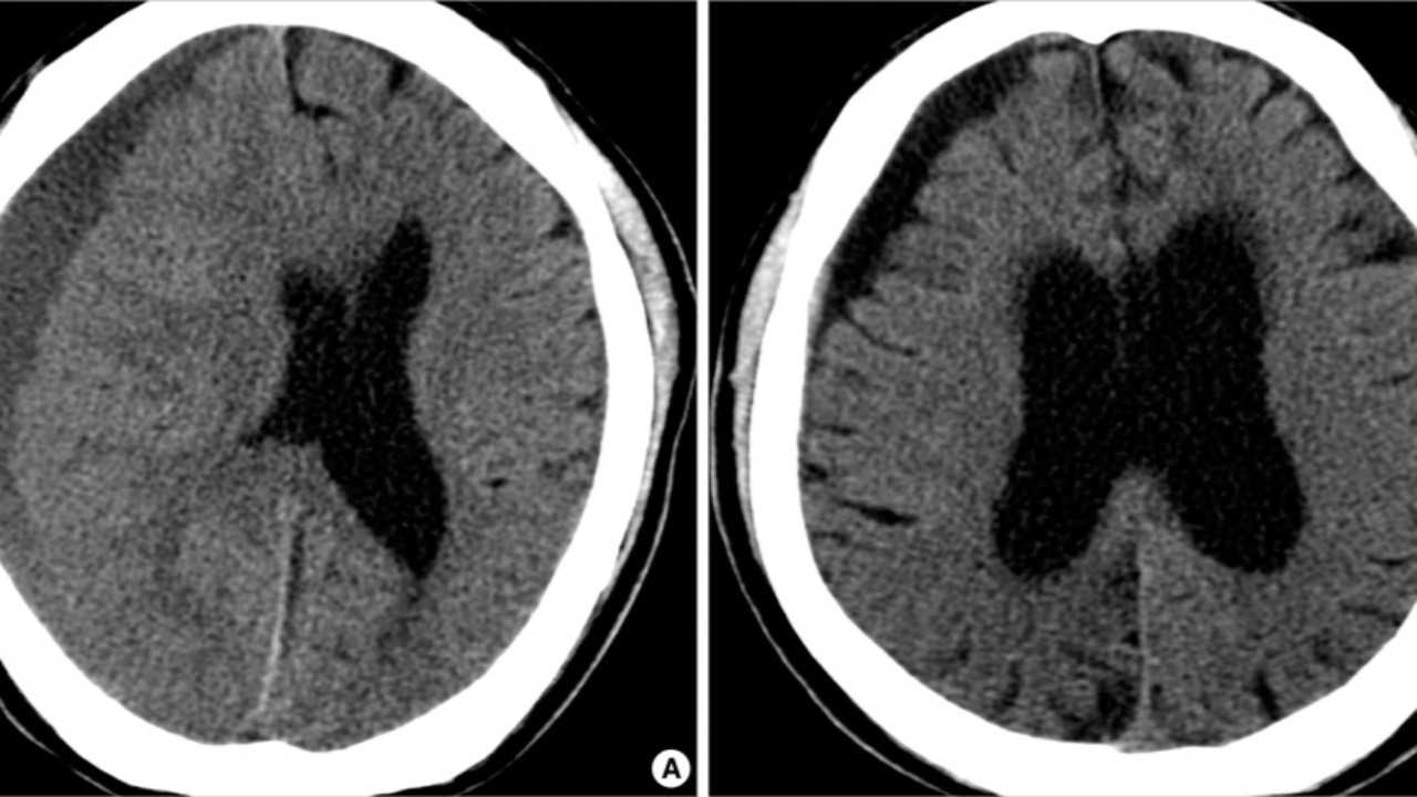
Diagnosis and Medical Imaging:

Brain atrophy is typically diagnosed using imaging techniques such as Magnetic Resonance Imaging (MRI) or Computed Tomography (CT) scans. These scans provide detailed images of the brain, helping doctors assess the extent and location of the atrophy.

Can It Be Treated?

Currently, there is no cure for brain atrophy. However, treatments can slow its progression or alleviate symptoms. According to Johns Hopkins Medicine, these may include:

Medications for underlying conditions (e.g., Alzheimer's drugs)

Physical and cognitive rehabilitation

Lifestyle changes such as a healthy diet, regular exercise, and mental stimulation

Brain atrophy is a serious medical condition with significant impacts on cognitive and physical abilities. Early diagnosis and intervention can help manage symptoms and improve quality of life.

* Stories are edited and translated by Info3 *
Non info3 articles reflect solely the opinion of the author or original source and do not necessarily reflect the views of Info3